
35歲的李小姐近期安排全身健康檢查,意外地在低劑量肺部電腦斷層(LDCT)中發現右上肺葉有一顆淡淡的毛玻璃狀病灶,經主治醫師判斷後,懷疑有極高機率為惡性腫瘤,因此安排住院手術。李小姐在術前完成電腦斷層導引,精準定位病灶,以不插管的形式進行全身麻醉胸腔鏡手術,術後傷口僅3公分,麻醉消退當晚,李小姐就恢復進食,能自主下床散步,術後第二天就出院。
亞東醫院胸腔外科醫師林玠虢表示,李小姐的肺部病灶經化驗結果顯示為第零期肺腺癌。根據2019年衛福部國人死因統計,惡性腫瘤蟬聯十大死因之首,肺癌更連續38年佔死因首位,而當中又以肺腺癌為大宗,但由於早期肺癌幾乎沒有任何症狀,因此像李小姐這樣不做檢查,根本不知道自己罹患肺癌的例子不在少數,所幸,近年來,國人健康檢查的觀念愈來愈普遍。林玠虢說,目前「低劑量肺部電腦斷層」是CP值最高的肺癌篩檢方式,不僅能在早期有效地發現肺部病灶,輻射劑量更只有傳統電腦斷層檢查的1/6至1/10。
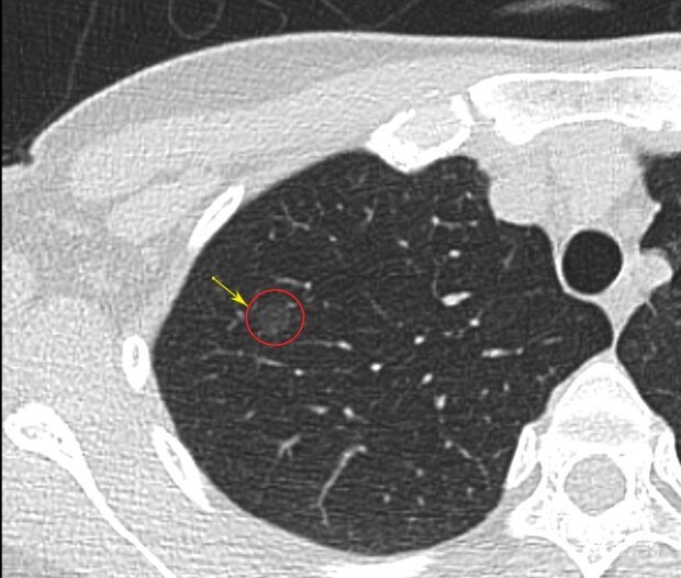
林玠虢指出,由於早期肺癌無跡象可循,以肺部毛玻璃狀病灶為例,可能不會產生任何不適症狀,但在低輻射劑量電腦斷層的檢查下,病灶會呈現出淡色顯影,可供醫師判斷是一般組織發炎或是早期肺腺癌。
醫師強調,由於肺腺癌發現不易,因此不論肺部病灶多麼微小,都建議切片檢查,甚至是開刀摘除。林玠虢表示,通常手術前會偕同影像科專家,以電腦斷層染色定位後再進行手術,手術間同時完成病理診斷和腫瘤切除,降低大部分惡性轉移的風險。亞東醫院胸腔外科團隊近年積極發展胸腔鏡微創手術,不同於傳統手術需插管並全身麻醉,能有效降低病患喉嚨痛與噁心想吐的不適感。
林玠虢提醒,每位民眾都需要個別評估自身風險因子,如年紀、抽煙史、家族癌症病史等,如有任何疑慮或不適感,可以盡快與胸腔科醫師一同討論治療計劃,遠離肺癌。