跳到主要內容區塊
僑務電子報
:::

口腔癌患牙關緊閉難植牙 長庚客製零件助再嚐美味

2024-12-09
中央社提供
分享
分享至Facebook 分享至Line 分享至X
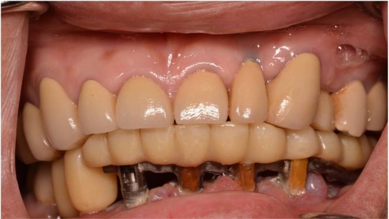
林口長庚醫院團隊研發「頭頸癌植牙重建克服張口受限免印模之數位贋復精準套件」,助牙關緊閉、張口不全患者完成複雜植牙贋復重建治療,使其咀嚼能力和生活品質得到顯著改善。(長庚醫院提供)
林口長庚醫院團隊研發「頭頸癌植牙重建克服張口受限免印模之數位贋復精準套件」,助牙關緊閉、張口不全患者完成複雜植牙贋復重建治療,使其咀嚼能力和生活品質得到顯著改善。(長庚醫院提供)

(中央社訊)口腔癌患者經歷腫瘤切除和下顎重建後,往往因牙關緊閉,在植牙關卡面臨阻礙。長庚醫院研發客製化專屬植牙零件,不同於市售植牙套件需要嘴張夠大才能裝,助患者再嚐食物美味。

今年63歲的賴姓口腔癌患者,在接受腫瘤切除及下顎重建手術後,出現牙關緊閉問題,但目前市售的植牙贋復套件,螺絲開口位於咬合面,導致賴姓患者的口腔難以容納用來固定螺絲的固鎖器,無法順利完成植牙義齒。

林口長庚醫院一般牙科暨義齒補綴科主治醫師黃意方團隊研發的「頭頸癌植牙重建克服張口受限免印模之數位贋復精準套件」,讓賴姓患者在1個月內順利完成複雜植牙贋復重建治療。定期追蹤下,也未出現植牙螺釘鬆脫、植體鬆動、假體斷裂等併發症,咀嚼能力和生活品質得到改善。

這項「頭頸癌植牙重建克服張口受限免印模之數位贋復精準套件」因極具臨床應用價值,獲2024年「第21屆國家新創獎」,黃意方並在這屆台灣醫療科技展中教授並舉辦講座和大眾分享。

黃意方指出,根據長庚醫院過往的頭頸癌複雜性口腔重建經驗,張口受限的問題常導致患者無法接受傳統印模完成義齒的製作,難以完成口腔重建。許多患者因此無法如願完成植牙者恢復咀嚼功能,生活品質受影響;有些則因此需接受額外的整形外科手術增加張口度,對患者來說是身心煎熬。

不同於目前市售的植牙贋復套件,螺絲開口均位於咬合面,黃意方團隊利用電腦輔助設計輸出系統,製作客製化雙翼植牙贋復套件,將螺絲開孔的位置,從咬合面延伸至頰側面,減少張口需求,使得植牙螺絲固鎖器能從側方進出,成功克服患者的張口度限制。

這個套件的另1項創新設計,黃意方指出,在於套件兩側加上側翼橫桿,於口內輕鬆定位植體之間的相對位置,且透過口外焊接技術,將數個雙翼植牙贋復套件連結後作為義齒內部支架使用,再輸出全陶瓷數位義齒,將其黏著於支架上。

黃意方表示,長庚醫療體系在數位醫療的發展上不遺餘力,目前這項創新設計已受中華民國專利保護,希望未來能幫助更多頭頸癌患者,順利克服生理條件限制,完成複雜的口腔贋復重建治療,能有效提升咀嚼功能與生活品質。

相關新聞

top 內政部修訂僑民役男服役規定 僑民既有權益不受影響