跳到主要內容區塊
僑務電子報
:::

開學學童便秘急診增 醫師:掌握餐後上廁所時機

2025-10-31
中央社提供
分享
分享至Facebook 分享至Line 分享至X
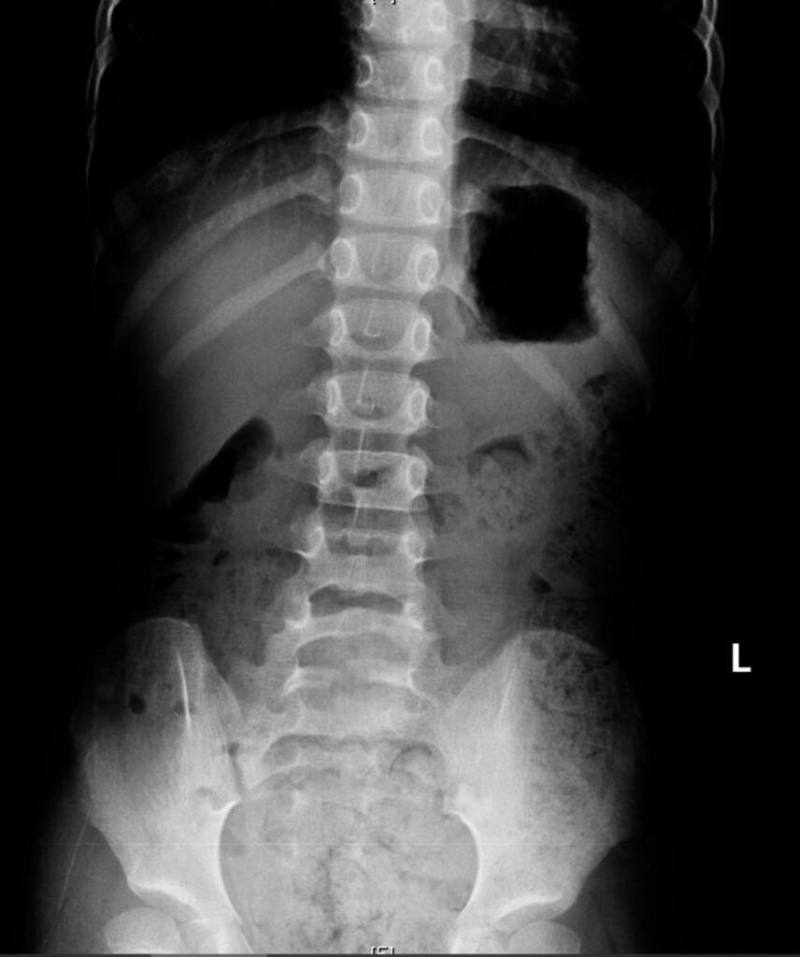
高雄一名男童近日因腹痛、冒冷汗被送到阮綜合醫院急診,X光檢查發現滿肚子都是大便;醫師提醒,長期便祕恐影響食慾與成長,家長應掌握餐後便意時機,協助孩子建立規律排便習慣。(阮綜合醫院提供)
高雄一名男童近日因腹痛、冒冷汗被送到阮綜合醫院急診,X光檢查發現滿肚子都是大便;醫師提醒,長期便祕恐影響食慾與成長,家長應掌握餐後便意時機,協助孩子建立規律排便習慣。(阮綜合醫院提供)

(中央社訊)高雄一名11歲男童近日因腹痛、冒冷汗、嘴唇發紫、手腳冰冷被送到阮綜合醫院急診,X光檢查發現滿肚子都是大便;醫師提醒,家長要建立孩子規律排便習慣,可在飯後便意強時提醒上大號。

阮綜合醫院28日新聞稿表示,開學後兒童便秘掛急診病例明顯增加,長期便秘恐影響食慾與成長,家長應掌握餐後便意時機,協助孩子建立規律排便習慣。

11歲男童近日因腹痛、嘴唇發紫送急診,經X光檢查診斷為便秘。灌腸後排出大量糞便,症狀立刻緩解。男童母親表示,孩子習慣邊上廁所邊玩手機,常被催促太久才匆忙結束,也不清楚是否排便乾淨。

還有一名周歲女嬰因大便乾硬、如「羊大便」並伴隨鮮血就醫,最後診斷為便秘引起的肛裂;阮綜合醫院衛教家長調整副食品及使用軟便藥,減輕疼痛、促進癒合。

阮綜合醫院急診兒科主治醫師蕭宇超表示,小兒功能性便秘多與飲食、排便習慣或心理因素相關。若孩童一週排便少於3次、解便疼痛、糞便過硬或粗大就是便秘,治療需至少1至3個月搭配生活調整,若持續無改善或伴隨體重下降、腹脹、反射異常等情形,應就醫排除器質性疾病。

蕭宇超說,家長如發現孩子腹脹、食慾差、精神不濟,甚至內褲滲便;嬰幼兒則可能吐奶、厭奶、哭鬧不安都可能是便秘。治療上應從飲食調整著手,增加水分與纖維質攝取,並建立固定排便習慣。嚴重者依醫囑使用口服藥物、軟便劑或栓劑;若腹痛劇烈、糞便阻塞,才需灌腸。

蕭宇超提醒,民眾不宜常自行購買灌腸劑或甘油球使用,以免損傷直腸或降低腸道蠕動力。日常可讓幼兒每日飲水1000至1500cc,小學生1500至2000cc,並於飯後利用胃結腸反射上廁所,每次5至10分鐘為宜。家長應鼓勵、別責罵,減輕孩子壓力。

相關新聞

top 內政部修訂僑民役男服役規定 僑民既有權益不受影響